Better Breathing, Happier Life
Breathing easily and fully is one of the basic pleasures of being alive. Yet, today many children, adolescents, and adults suffer from Sleep Breathing Disorder (SBD), including Pediatric Sleep Apnea (PSA) and Adult Sleep Apnea (ASA).
At Van Vliet & Ganz Orthodontics, we diagnose, educate, and treat these patients.
5 Questions to Ask
- Does your child perform at their true potential, or are they struggling to thrive?
- Does your child snore while sleeping?
- Does your child experience nasal congestion and mouth breathing? Children that breath through their mouth are susceptible to crooked teeth, facial deformity and numerous illnesses.
- Is your child hyperactive or having trouble sitting still or difficulty learning? Poor sleeping habits and breathing issues can contribute to ADHD.
- Have you or your dentist noticed teeth crowding or a narrow arch? Crowded teeth and jaws can affect the physical, mental, and emotional development of your child.
If you answered yes to any of these questions, your child could benefit from airway treatment.
The American Association of Orthodontics recommends that your child has an orthodontic evaluation by age seven. This evaluation is especially important if your child struggles with any airway problems.
494% Airway Enhancement
Helping Your Child Breathe
Recent medical studies show a high correlation of sleep breathing disorders to abnormal dentofacial development in children and adolescents.
If these conditions aren’t treated, they can contribute to childhood obesity, juvenile diabetes, behavior disorders (ADD, ADHD), growth problems, and even cardiovascular disease.
At Van Vliet & Ganz Orthodontics, we’ve created an Early Airway Orthodontic Program to evaluate and, if necessary, treat airway problems.
We use an early comprehensive examination, sleep questionnaire, and medical history, as well as a low dose 3D I-CAT scan to diagnose sleep problems related to airway abnormalities.
We may refer you to an ear, nose, and throat (ENT) specialist or a pediatric sleep medicine pulmonologist for further coordinated diagnosis and treatment.
Although you’ll see immediate results right away, the long-term benefits are truly life-changing.
Adult Sleep Apnea Treatment
More than 18 million adults in the United States have Sleep Apnea. 85% percent of them suffer from Obstructive Sleep Apnea (OSA). Untreated OSA can create serious medical risks, including stroke, heart attack, obesity, and diabetes.
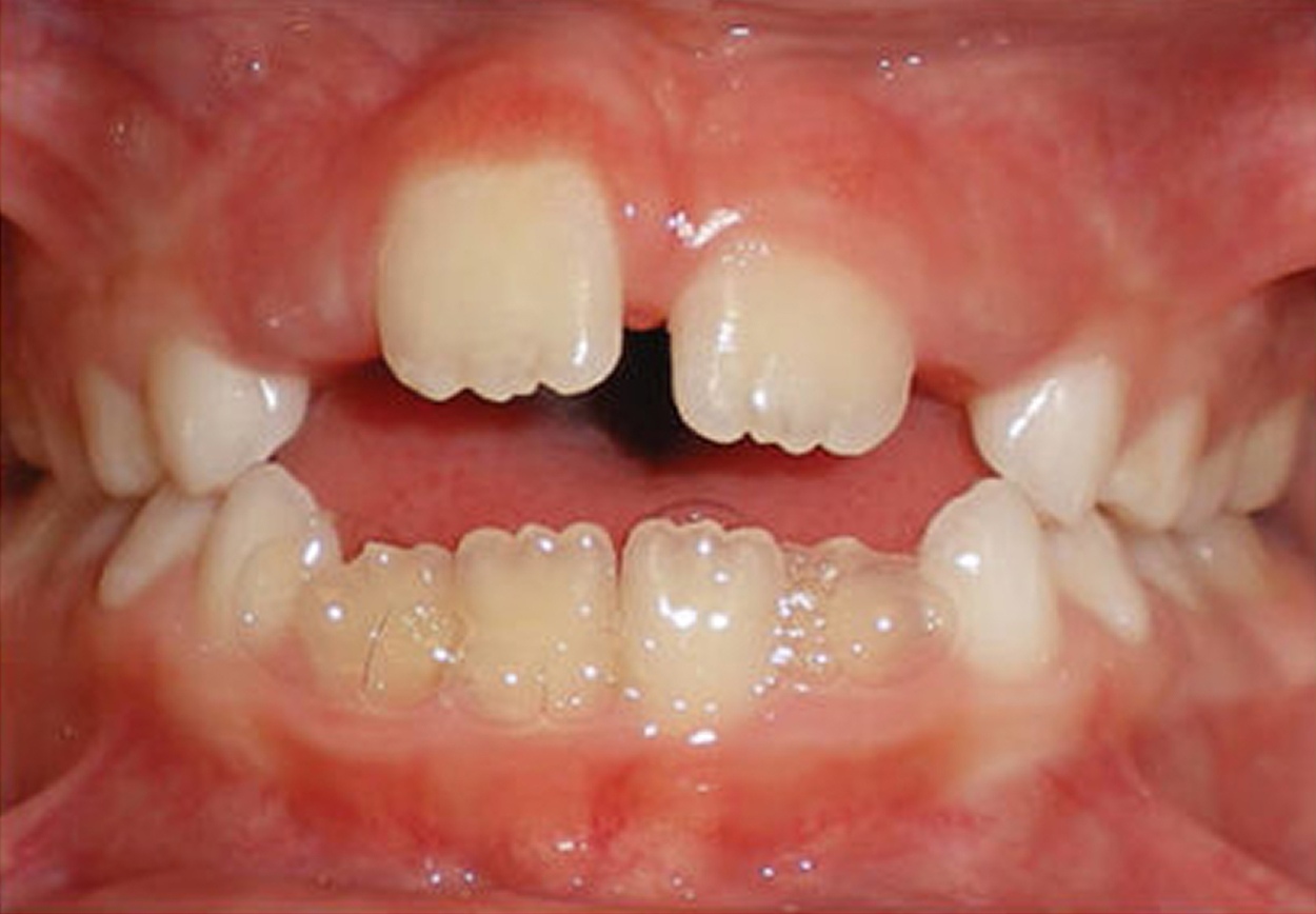
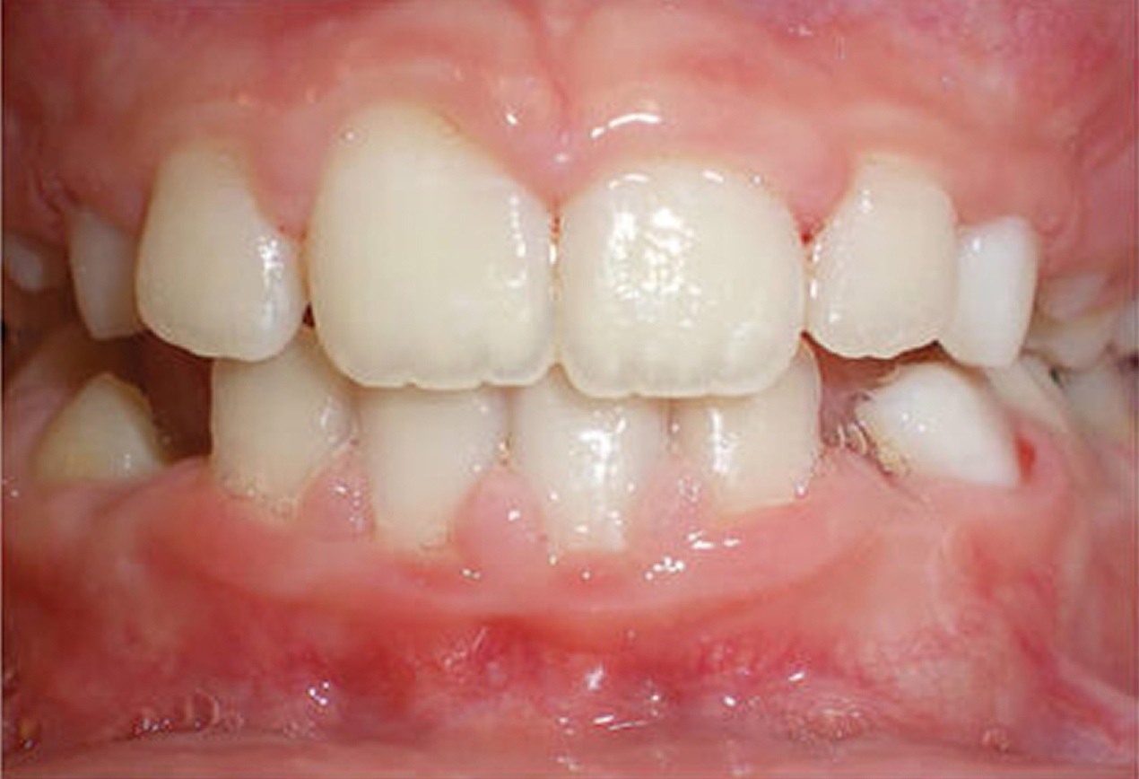
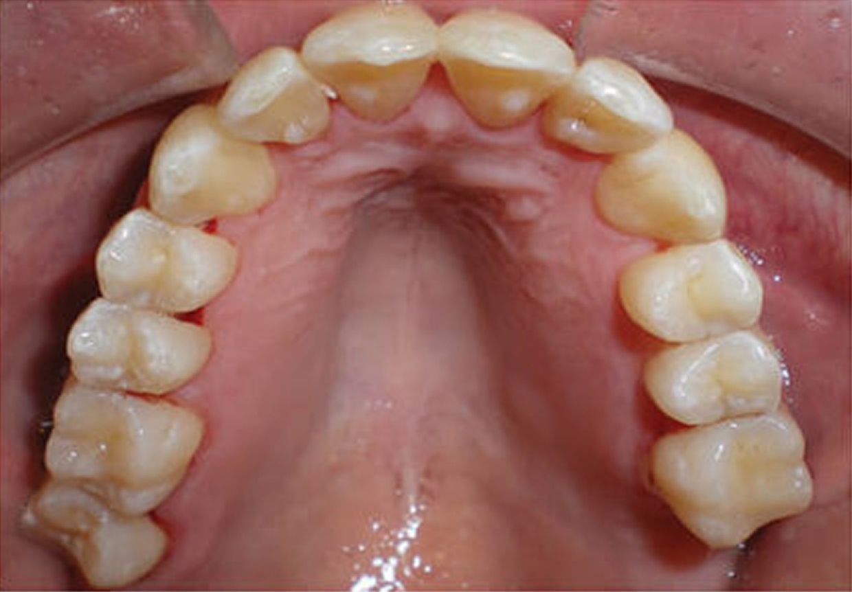
For many patients, an orthodontic intervention in Highland, NY or Ramsey, NJ can improve and sometimes eliminate these risks. Below are pictures of an OSA patient that benefitted from orthodontic treatment’s life-changing effects at Van Vliet & Ganz Orthodontics.
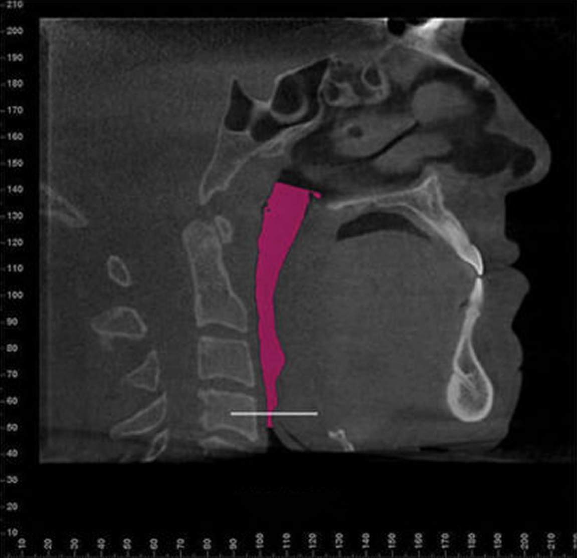
867% Airway Enhancement
Why Airway Orthodontics
At Van Vliet & Ganz Orthodontics, we believe great orthodontic care goes beyond just straight teeth. It’s about supporting proper function – and that starts with how you breathe. Airway orthodontics focuses on identifying and addressing underlying issues that affect the size, shape, and function of the airway. The goal? To create space not just for teeth, but for better breathing, better sleep, and improved overall health.
This modern, holistic approach allows us to help patients-especially children-correct problems early, reduce the risk of future complications, and improve quality of life in ways that traditional orthodontics alone may not address.
For many patients, an orthodontic intervention in Highland, NY or Ramsey, NJ can improve and sometimes eliminate these risks. Below are pictures of an OSA patient that benefitted from orthodontic treatment’s life-changing effects at Van Vliet & Ganz Orthodontics.
